โดนฟันคุดเล่นแล้ว
24 Feb 2025 · 1 minute read
ได้ยินเพื่อนบ่นมาเสมอ เช่น ผ่าฟันคุด เจ็บฟันคุด บลา ๆ แต่ก็ไม่ค่อยสนใจ และแอบดีใจว่าชีวิตเราสบายจริง ๆ ไม่มีฟันคุด
จนมาอายุ 23 ปี อยู่ ๆ ก็ปวดกระพุ้งแก้ม เลยให้แฟนดูช่วยดู ได้สมมติฐานมาว่าฟันคุดหรือเปล่านะ
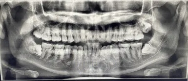
ก็เลยลองไปหาหมอฟันเอกซเรย์ดู เรียบร้อยย 4 ซี่!!!

และ ณ วันนั้นก็ลองถอนฟันคุดด้านบนออกมา 1 ซี่ โคตรเจ็บ! นี่ขนาดยังไม่ผ่า
ฟันคุดควร Clear ให้หมดก่อนอายุ 25 ปี เพราะกระดูเราจะยังไม่แข็งมาก เอาหละเหลืออีก 2 ปี กับฟันคุด 3 ซี่ที่เหลือ
ถ้าถอนฟันคุดครบหมดแล้ว แต่ตายไวนี่โกรธนะ อย่าเชียว อุตส่าห์ทนเจ็บ 5555